Annual report 2021–2022

This annual report is a celebration of pathology and pathologists. It highlights our collective mission in providing the best pathology service we can.
Dr Mike Osbourn

Dr Mike Osbourn

Past President, 2020–2023

The 2021−2022 annual report reflects on the achievements of the College and our members over the past year. We celebrate the College’s Diamond Jubilee, highlighting events that have taken place throughout the year across the UK.  

You can read more about our activities both in the UK and internationally, as well as our efforts to engage and influence the public, key stakeholders and kindred organisations. 

Clinical case studies

The College is very proud of all our medical and scientific colleagues working across 17 specialties and many subspecialties. Our colleagues make exceptional contributions to health at all stages of our lives.

Examples of this essential work range from diagnosing inherited and acquired disease in the fetus and newborn, immunisation in childhood and adults, care of pregnant mothers, diagnoses, investigation and treatment of a multitude of disorders, infections and cancers together with screening programmes right through to post-mortem examinations that inform the care of the living.

We have briefly outlined the key roles of each specialty with a further spotlight on just some of the ongoing work in the below clinical case studies.

Dr Ifeoma Ijei-Enesi

Implementing a newborn screening programme: our experience in Kaduna State, Nigeria

Newborn screening programmes for sickle cell disorder ensure early diagnosis, allowing preventative measures to be established early in childhood and reducing the likelihood of major health complications. Here, Dr Ifeoma Ijei-Enesi, Dr Livingstone Dogara and Dr Psalm Baba Inusa describe how their screening programme has overcome challenges to improve diagnostic and treatment services for patients with sickle cell disorder.

Ama headshot image for annual report case study close up

Improving blood matching for transfusions in patients with sickle cell disorder

The transfusion of red blood cells may be a one-off event, or it may be required every few weeks over many years, for example for people with an inherited anaemia such as sickle cell disorder. Here Dr Sara Trompeter, a consultant haematologist, discusses the challenges in matching blood for transfusions and advances in red cell genotyping through the Haem-Match project.

Abstract image of a DNA strand

Finding a novel cause of primary immunodeficiency

Clinical immunologists specialise in diagnosing and treating patients with inherited or acquired failures of the immune systems that lead to infections and autoimmune complications. When the cause of an immune system disorder is unknown, clinical trials and research can be vital in providing answers. Here, Dr Sinisa Savic describes how a novel cause of primary immunodeficiency was discovered.

Bandsaw slicing a segment of jaw

Combining dentistry and pathology to diagnose and treat oral cancer

Oral and maxillofacial pathologists have an in-depth knowledge of the complex processes that are involved in tooth development. Dr Hall describes an unusual case of a tumour arising from the lining of a dental cyst.

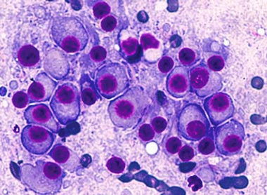
Microscopic image of multiple myeloma

Multiple myeloma and genetic testing

Patients with multiple myeloma – a type of bone marrow cancer – often have poor outcomes. Professor Guy Pratt explains how genetic testing can aid decisions around the best treatment for patients, ultimately improving survival rates.

Veterinary virologists at the Animal and Plant Health Agency laboratory

Tackling bird flu in the UK

The UK and Europe are tackling the longest and largest series of avian influenza outbreaks, posing a serious threat to wild bird populations and people’s livelihoods. Dr Brookes describes the response of agencies to this outbreak.

Abstract image of thrombocytes

Advances in thrombotic thrombocytopenic purpura

Thrombotic thrombocytopenic purpura is an acute life-threatening condition with a high mortality rate. Professor Scully explains how recent advances in its treatment and management have improved the outcomes for patients with this condition.